Il trattamento consiste in una procedura chirurgica mini-invasiva a due fasi:
1. Bonifica del cavo orale e inserimento impianti;
2. Inserimento della protesi dentaria.
1. Bonifica del cavo orale e inserimento impianti
Tecnica mini-invasiva che consiste nella rimozione dei denti non recuperabili e successivo inserimento (immediato) di impianti dentali "top di gamma" e di ultima generazione, certificati mediante Passaporto Odontoiatrico Europeo (POE).
Cos’è un impianto “top di gamma”?
La scelta degli impianti dentali da parte dei medici odontoiatri di Destinazione Sorrisi avviene mediante accurata selezione tra le migliori aziende produttrici europee. Grazie a questa selezione, il paziente ha la garanzia che, gli impianti scelti per lui, sono sempre tra i migliori che il mercato offre.
Cos’è un impianto di ultima generazione?
Un impianto dentale di ultima generazione, è un impianto che viene selezionato tra i “top di gamma” in modo da garantire al paziente una evoluta tecnologia applicata all’odontoiatria.
Cos’è il Passaporto Odontoiatrico Europeo?
E’ un documento di tracciabilità degli impianti utilizzati mediante etichette e provenienza (lotto specifico ed azienda produttrice). Sul POE vengono, inoltre, specificati i dati sanitari del paziente ed il posizionamento degli impianti nell’arcata dentale.
Questo garantisce che in qualsiasi parte del mondo, il paziente si trovi, qualsiasi odontoiatra potrà facilmente intervenire sulla condizione pre-esistente.
2. Inserimento della protesi dentaria
Subito dopo la bonifica e l’inserimento degli impianti, sarà applicata una protesi dentale (entro le 24 ore). La protesi scelta dal nostro personale medico-odontoiatrico sarà definita in base alle condizioni cliniche del paziente. In ogni caso, il paziente potrà avere un ripristino immediato della funzione masticatoria ed un’estetica perfetta.
Qual è la differenza tra un protesi provvisoria ed una definitiva?
Secondo i protocolli delle pubblicazioni internazionali, fatte sul “carico immediato”, il materiale utilizzato per una buona riuscita dell’intervento può essere in:
- Resina: è un materiale acrilico utilizzato per la sua capacità di non stressare, negli sforzi masticatori, gli impianti nella fase di guarigione, consentendo così la normale ed immediata masticazione.
- Composito: è una particolare resina riempita con nano particelle in ceramica con caratteristiche molto simili ai denti naturali. Come la resina normale, anche il “composito” garantisce la funzione immediata, ma fornisce prestazione estetiche leggermente superiori.
**** E’ quindi chiaro che, la protesi inserita è sempre “provvisoria”. La normativa odontoiatrica, infatti, obbliga, anche se spesso viene omesso di specificarlo, che la protesi utilizzata in caso di carico immediato, non può essere definitiva. La protesi definitiva può essere applicata dopo un tempo variabile tra i 6 ed i 12 mesi. ****
NOTA - IL PAZIENTE SARA’ DI FRONTE AD UNA SCELTA DOPO 12 MESI
- manutenzione periodica con pulitura della protesi presso un qualsiasi studio odontoiatrico.
- sostituzione della protesi (in resina o composito) con una protesi definitiva in ceramica o zirconia.
Perché è necessaria una manutenzione annuale della protesi?
La protesi in resina, per le sue caratteristiche “provvisorie” ha una vita media che dura in relazione alla manutenzione periodica. Essa è soggetta ad usura, per cui può rompersi o semplicemente macchiarsi, qualora non si esegua una manutenzione della stessa. Per questo motivo, è consigliabile uno smontaggio annuale al fine di ispezionarla.
Perché è necessaria una pulitura semestrale della protesi?
Le protesi in resina, per le specifiche caratteristiche di questo materiale, tendono ad attirare la placca batterica, provocando in molti casi, infiammazioni gengivali. Queste, se non curate provocano lesioni, spesso gravi, del cavo orale, che potrebbero compromettere la durata degli impianti. Per questo motivo, è consigliabile lo smontaggio annuale della protesi e la relativa pulitura, anche al fine di un controllo dei tessuti sottostanti.
Perché si consiglia, dopo 12 mesi, la sostituzione con protesi definitiva?
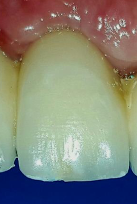
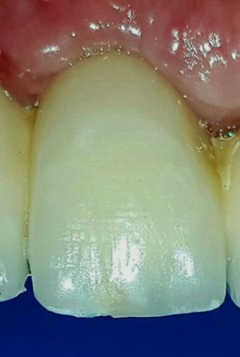
Una protesi definitiva è una protesi (in ceramica o in zirconia) che garantisce un’estetica superiore ed una funzione masticatoria più performante. Per le caratteristiche dei materiali di cui è composta resta inalterata negli anni ed ha il pieno rispetto dei tessuti gengivali circostanti. Esse vengono prodotte con tecnologie digitali, per cui sono molto vicine, per qualità , ai denti naturali e sono quasi impossibili improvvise rotture (nei momenti inopportuni).
Benefici di una protesi definitiva:
- Potrai sorridere in modo estremamente naturale
- La protesi definitiva non ha bisogno di alcuna revisione
- Ha una funzione masticatoria quasi uguale a quella dei denti naturali






